Giờ mở cửa

Thứ 2 - Thứ 7 | 8h - 19h

Dịch vụ & Bảng giá

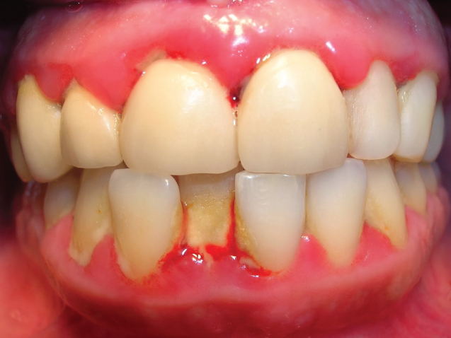
Theo khuyến cáo của các chuyên gia, điều trị viêm nha chu phải được thực hiện càng sớm càng tốt bởi gây ảnh hưởng rất lớn đến sức khỏe răng hàm, là nguyên nhân gây mất răng...

Điều trị viêm tủy răng an toàn bằng công nghệ vi phẫu mới tân tiến đã mang đến cho khách hàng gặp phải tình trạng răng bị viêm tủy, tổn thương thương có khả năng điều trị...