Những điều bạn cần biết về chỉnh hình răng
Không phải ai sinh ra cũng đều có sẵn một hàm răng đẹp. Nhưng không phải là không có cách để những chiếc răng về lại đúng chỗ, quen thuộc nhất của phương pháp chỉnh nha là niềng răng hay mang mắc cài
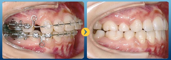
1. Chỉnh nha là gì? Tại sao chúng ta phải đeo mắc cài/ niềng răng?
Chỉnh nha, chỉnh hình răng là một điều trị đặc biệt trong nha khoa, liên quan đến việc làm đều đặn, có trật tự và chỉnh hàm giúp nụ cười đẹp hơn và sức khỏe răng miệng tốt hơn. Trong chỉnh nha, nha sĩ thường chỉ định gắn mắt cài để cải thiện ”răng và khuôn mặt”. Nhờ vào điều trị chỉnh nha mà những vấn đề: răng mọc lệch, mọc chen chúc hoặc sai khớp cắn của hàm trên và hàm dưới, lệch hàm… được điều chỉnh lại.
2. Ở độ tuổi nào thích hợp cho việc niềng răng?
Tất cả mọi lứa tuổi đều có thể chỉnh nha. Tuy vậy, từ 10 đến 14 tuổi là độ tuổi lý tưởng nhất để chỉnh nha. Trong thời gian này, đầu và miệng đứa trẻ vẫn đang phát triển và răng càng dễ dàng điều chỉnh thẳng hàng hơn. Vì bất kỳ sự điều chỉnh nào trên khuôn mặt đứa bé cũng có thể ảnh hưởng đến tâm lý của đứa trẻ trong suốt thời gian điều trị, do đó, cha mẹ nên trò chuyện với con mình kỹ lưỡng trước khi chúng được gắn mắc cài.

Và hơn thế nữa, những niềng răng không chỉ dành riêng cho trẻ con mà càng ngày càng nhiều người lớn niềng răng để chỉnh sửa vấn đề về răng dù là điều trị nhỏ để cải thiện nụ cười của họ.
3. Chúng ta nên đeo loại mắc cài nào?
Nha sĩ sẽ chỉ định loại mắc cài nào thì thích hợp nhất đối với trường hợp cụ thể của bạn. Nhìn chung, mắc cài thường có ba loại :
- Loại phổ biến nhất là loại có hình như ngoặc được làm bằng kim loại hoặc nhựa chúng được dán dính với răng bằng keo và khó nhìn thấy được.
- Loại” lingual” là loại mắc cài cũng có dạng hình dấu ngoặc nhưng được gắn mặt trong của răng nhằm giúp không nhìn thấy được.
- Loại “khâu” đã lỗi thời vì chúng bao phủ hầu như toàn bộ răng của bạn bằng một miếng băng kim loại, dùng dây kim loại để di chuyển tất cả răng đến vị trí mong muốn.
4. Chúng ta sẽ mang mắc cài trong bao lâu?
Điều đó còn tùy thuộc vào điều trị chỉnh hình răng của bạn, tuổi càng lớn thì thời gian điều trị càng lâu. Hầu hết các bệnh nhân được ước lượng mang mắc cài từ 18 đến 30 tháng, sau đó bệnh nhân nên đeo duy trì ít nhất là vài tháng để răng và hàm được thật sự ổn định.
5. Loại thức ăn nào chúng ta nên tránh và thói quen nào nên bỏ khi mang mắc cài?
Thức ăn ngọt, những thức ăn có chất đường, dính và dẻo sẽ hình thành nên acid và mảng bám gây sâu răng và bệnh về nướu, những thức ăn như: caramel có thể hư hỏng dây mắc cài và mất mắc cài. Bạn nên cắt những thức ăn cứng như cà rốt, táo… thành miếng nhỏ trước khi ăn. Những thức ăn cứng và giòn có thể làm bể mắt cài như: bắp rang, các loại hạt và kẹo cứng. Bạn nên tránh: mút kem, mút ngón tay, thở miệng, cắn môi, đẩy lưỡi trong quá trình chỉnh hình răng.

6. Chăm sóc răng tại nhà khi niềng răng như thế nào?
Khi niềng răng, việc chăm sóc răng miệng quan trọng hơn bao giờ hết, mắc cài có những khoảng trống nhỏ nơi đó những mảnh vụn thức ăn và mảng bám dễ mắc vào. Chải răng cẩn thận sau mỗi bữa ăn với kem đánh răng có flouride và lông bàn chải mềm, súc miệng kỹ và kiểm tra răng trước gương để chắc chắn răng được sạch. Dành thời gian để lấy sạch thức ăn giữa mắc cài và giây mắc cài bằng chỉ tơ nha khoa. Khám và cạo vôi đánh bóng răng định kỳ 6 tháng/1 lần để giữ cho răng và nướu luôn khỏe mạnh. Vệ sinh răng miệng không tốt trong khi niềng răng sẽ làm đổi màu xung quanh mắc cài và khâu.
7. Ai có thể tiến hành điều trị chỉnh hình răng cho bạn?
Nha sĩ thực hành tổng quát sẽ sắp xếp kế hoạch điều trị răng của bạn, và kế hoạch này có thể bao gồm cả điều trị chỉnh hình trong đó, bao gồm: chẩn đoán và các bước điều trị chỉnh hình tiếp theo.
Tuy nhiên, bác sĩ có thể giới thiệu bạn cho một bác sĩ chuyên khoa chỉnh nha, người chuyên theo dõi sự phát triển, ngăn ngừa và chỉnh sửa những lệch lạc răng, sai khớp cắn, lệch hàm và liên quan đến những bất thường của khuôn mặt.

Nha khoa Hà Thu với hơn 20 năm hoạt động, chắc chắn sẽ là nơi chăm sóc răng miệng tốt nhất dành cho bạn. Không chỉ có đội ngũ bác sĩ giỏi và giàu kinh nghiệm, nơi đây còn có hệ thống máy móc, trang thiết bị nha khoa vô cùng hiện đại và chất lượng. Để biết thêm về các phương pháp chăm sóc và điều trị bệnh răng miệng, quý bệnh nhân hãy liên hệ với chúng tôi theo hotline: 0938 793 398 để được tư vấn cụ thể




