Hotline
0938 793 398Giờ mở cửa
Thứ 2 - Thứ 7 | 8h - 19h
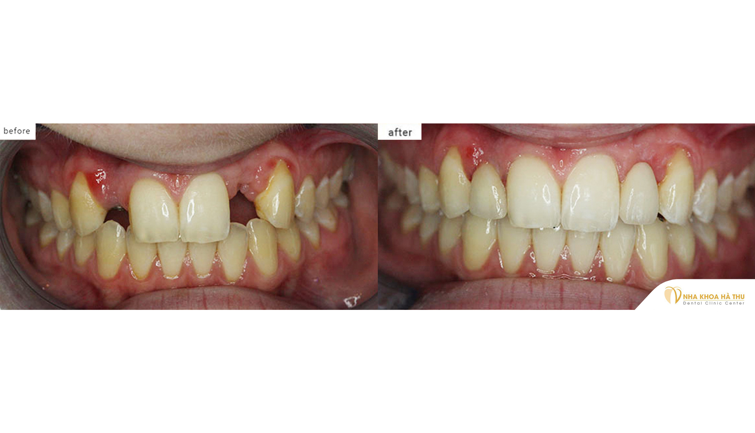
Anh Trần Tuấn – Trồng răng Implant
Khách hàng Trần Tuấn sử dụng dịch vụ trồng răng implant, lấy lại nụ cười hoàn hảo cho bản thân.
- Mất hai răng hàm trên gây mất thẩm mỹ, tự ti trong giao tiếp
- Sinh hoạt ăn uống khó khăn, phát âm không chuẩn do có đến 2 kẽ hở tạo ra từ 2 răng mất
- Phục hình răng mất, tạo hình mão sứ tỉ mĩ giống hệt như răng thật
- Xử lý không gây ảnh hưởng đến các răng thật còn lại, không gây đau nhức sau điều trị
- Răng được trồng vững chắc như răng thật, tăng khả năng nhai, giúp bệnh nhân cải thiện ăn uống sinh hoạt hàng ngày, lấy lại niềm vui và sự tự tin trong cuộc sống.
Mọi thông tin liên hệ vui lòng gọi đến số:
Hotline:
0938 793 398Trước & sau điều trị
Sức khỏe và nhan sắc là một trong những điều mang lại niềm vui cho cuộc sống. Vì vậy, hãy lựa chọn một địa chỉ uy tín, chất lượng để được chăm...
Chị Thảo - Thẩm mỹ nụ cười
Khách hàng Ngọc Phi sử dụng dịch vụ thẩm mỹ nụ cười và răng sứ để làm đẹp lại toàn bộ hàm răng của mình
Chị Phi - Thẩm mỹ Nụ cười và Răng sứ