Hotline
0938 793 398Giờ mở cửa
Thứ 2 - Thứ 7 | 8h - 19h
Răng sứ
Bọc răng sứ thẩm mỹ ra đời mang tới cho khách hàng một giải pháp phục hình răng hoàn hảo, cải thiện tối ưu về mặt thẩm mỹ, bảo tồn răng thật ăn nhai tốt, bền chắc lâu dài. Tại Nha khoa Hà Thu, bọc răng sứ thẩm mỹ bằng công nghệ hiện đại, chắc chắn sẽ mang tới cho khách hàng sự hài lòng với kết quả phục hình đạt được.
Dịch vụ răng sứ thẩm mỹ hay còn gọi là Bọc răng sứ thẩm mỹ là kỹ thuật sử dụng một mão răng sứ giả để chụp lên trên răng thật khiếm khuyết hoặc hư tổn để tái tạo lại về mặt hình thể, màu sắc, cải thiện thẩm mỹ và chức năng ăn nhai cho răng. Bọc răng sứ thẩm mỹ được áp dụng cho nhiều trường hợp khác nhau:
Răng có hình thể xấu, bị sứt mẻ, gãy vỡ, không còn hình dạng ban đầu
Răng bị hư hỏng do bệnh lý răng miệng như sâu răng, viêm tủy, mòn men răng..
Răng mọc lệch lạc, khấp khểnh, răng thưa hở, răng hô, móm
Răng bị xỉn màu, nhiễm kháng sinh không thể tẩy trắng được
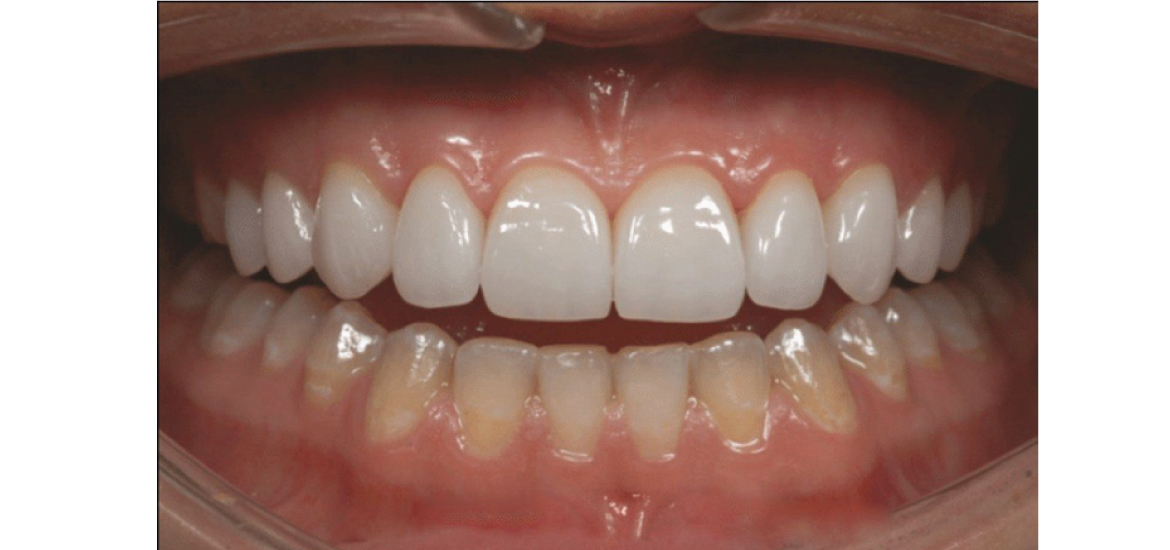
Thẩm mỹ cao, răng sứ đẹp như răng thật: Răng sứ được thiết kế với màu sắc, hình dáng đẹp hơn răng thật ban đầu nên sau khi bọc răng sứ thẩm mỹ có thể khắc phục tối đa các những khuyết điểm của răng xấu, giúp răng đẹp, đều và trắng sáng hoàn hảo. Thậm chí bạn khó mà phân biệt được đâu là răng thật, đâu là răng sứ.
Tăng khả năng ăn nhai: Mão răng sứ rất cứng chắc, chịu lực ăn nhai tốt nên sau khi bọc răng sứ, răng thật không chỉ được bảo vệ, giúp bền chắc mà còn đảm bảo chức năng ăn nhai tốt. Đặc biệt với những trường hợp mất răng, bọc răng sứ bằng cách làm cầu răng sứ sẽ giúp khôi phục cho răng đã mất, tăng khả năng ăn nhai cho toàn hàm.
Tuổi thọ bền lâu: Răng sứ rất bền chắc nên có thể duy trì lâu dài trên cung hàm. Đặc biệt với răng toàn sứ có tuổi thọ rất cao, có thể lên tới 10-20 năm nếu được chăm sóc tốt.
Chi phí phù hợp: Bọc răng sứ có nhiều mức giá khác nhau tùy vào loại răng sứ mà bạn lựa chọn để phục hình. Chi phí hợp lý, phù hợp với mức thu nhập của nhiều người.
Răng sứ là loại răng giả phục hình, được cấu tạo từ 2 phần chính với khung sườn bên trong được làm bằng kim loại hoặc sứ nguyên chất và bên ngoài được phủ một lớp men sứ mỏng có hình dáng, màu sắc, kích thước giống hệt như răng thật.
Trên thực tế, việc răng sứ tồn tại được bao lâu sẽ còn phải phụ thuộc vào rất nhiều yếu tố như: Chất lượng cùi răng, tình trạng răng miệng hiện tại, và loại răng sứ được lựa chọn.
Nha khoa Hà Thu được biết đến là địa chỉ răng hàm mặt hàng đầu tại TP. HCM, áp dụng đa dạng các chất liệu làm răng sứ có chất lượng tốt và được đánh giá cao hiện nay như: Răng sứ diamond, răng sứ cercon, răng sứ veneer, răng sứ ziconia... đáp ứng nhu cầu của đông đảo khách hàng trên cả nước.
Bằng tất cả những thế mạnh về cơ sở vật chất, máy móc, yếu tố vô trùng không khí, chất lượng răng sứ và tay nghề chuyên môn của đội ngũ bác sĩ phụ trách, đến nay đã có nhiều khách hàng làm răng sứ thành công tại Nha Khoa Hà Thu với hàm răng trắng sáng, đều đặn, khắc phục hiệu quả các khiếm khuyết, thoải mái ăn uống và lấy lại sự tự tin trong cuộc sống
Bên cạnh yếu tố máy móc và tay nghề chuyên môn của đội ngũ bác sĩ, Nha khoa Hà Thu còn thực hiện quy trình làm răng sứ chuyên nghiệp và khoa học, đáp ứng yêu cầu của Bộ Y Tế và quy định chung của các cơ quan y tế. Bao gồm các bước cơ bản sau đây:
Bác sĩ tiến hành thăm khám tình trạng răng miệng và hướng dẫn khách hàng chụp phim Xquang toàn cảnh Panorex để xác định chính xác những khiếm khuyết cũng như tổng quan hệ thống răng hàm hiện tại, qua đó biết được cụ thể số lượng, vị trí răng, mức độ khuyết điểm ...của răng cần khắc phục.
Dựa vào kết quả thăm khám, mong muốn cụ thể, cũng như tình hình tài chính của từng người mà bác sĩ sẽ tiến hành lên kế hoạch làm răng sứ thẩm mỹ phù hợp, trong đó quy định cụ thể về số lương răng, chi phí, thời gian thực hiện… Sau khi hoàn thành bảng kế hoạch, bác sĩ sẽ giao lại cho khách hàng để thống nhất lại trước khi đưa vào thực hiện. Bên cạnh đó, bác sĩ cũng giải đáp mọi thắc mắc liên quan để khách hàng có thể hiểu rõ hơn về phương pháp thực hiện.
Bác sĩ sẽ gây tê trước, sau đó mới tiến hành mài răng cho khách hàng để hạn chế cảm giác đau đớn và khó chịu trong suốt quá trình thực hiện. Toàn bộ quá trình mài cùi răng được tiến hành tỉ mỉ, cẩn thận, không đụng đến tủy hay ảnh hưởng đến cùi răng thật.
Sau khi mài cùi răng, bác sĩ sẽ tiến hành lấy dấu mẫu hàm bằng công nghệ scan 3D cho các khách hàng, đồng thời chuyển toàn bộ những số liệu này qua cho Labo để các kỹ thuật viên chế tạo mão sứ phù hợp nhất, đảm bảo tính thẩm mỹ và an toàn cao.
Bác sĩ tiến hành gắn mão sứ lên răng, đồng thời cân chỉnh răng lại sao cho khít sát và đảm bảo tính thẩm mỹ cao nhất, sau đó dùng nhựa dán đặt biệt để cố định lên cùi răng thật. Cuối cùng, răng sứ sẽ được đánh giá lại một lượt nữa để kiểm tra độ bền và khả năng ăn nhai trước khi hoàn tất quá trình phục hình. Trước khi ra về, bác sĩ sẽ hẹn lịch tái khám và lưu ý khách hàng một số vấn đề khi chăm sóc để duy trì kết quả thẩm mỹ, màu răng, độ bền…
Bọc răng sứ thẩm mỹ tại Nha Khoa Hà Thu sẽ mang đến cho bạn một hàm răng trắng sáng, đều, đẹp, tự nhiên cùng nụ cười rạng ngời. Mọi thắc mắc liên quan đến dịch vụ, mời khách hàng liên hệ trực tiếp với Nha khoa Hà Thu để được các bác sĩ thăm khám và cho tư vấn rõ hơn nhé!
Mọi thông tin liên hệ vui lòng gọi đến số:
Hotline:
0938 793 398Trước & sau điều trị
Sức khỏe và nhan sắc là một trong những điều mang lại niềm vui cho cuộc sống. Vì vậy, hãy lựa chọn một địa chỉ uy tín, chất lượng để được chăm...
Chị Thảo - Thẩm mỹ nụ cười
Khách hàng Ngọc Phi sử dụng dịch vụ thẩm mỹ nụ cười và răng sứ để làm đẹp lại toàn bộ hàm răng của mình
Chị Phi - Thẩm mỹ Nụ cười và Răng sứ