Hotline
0938 793 398Giờ mở cửa
Thứ 2 - Thứ 7 | 8h - 19h
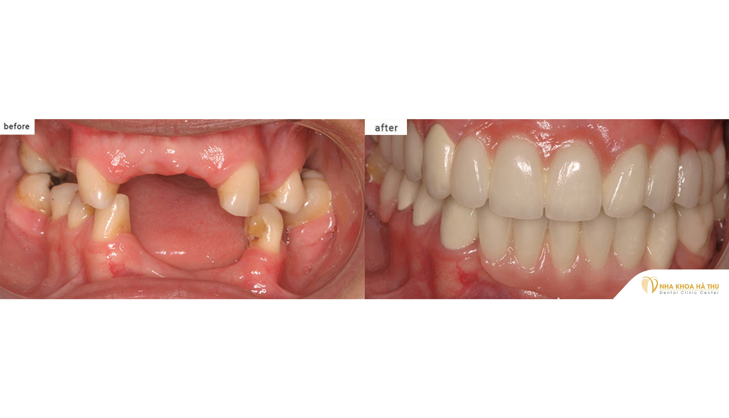
Anh Đình Tấn - Veneer sứ
Khách hàng Đình Tấn sử dụng dịch vụ răng sứ thẩm mỹ, dán sứ veneer, khắc phục hoàn toàn vấn đề mất răng.
- Răng bị mất gần như toàn hàm, không những gây mất thẩm mỹ mà còn ảnh hưởng nghiêm trọng đến sinh hoạt hàng ngày như: ăn uống khó khăn, phát âm không chuẩn,…
- Điều trị phục hình toàn hàm, giúp bệnh nhân có hàm răng mới đẹp đều, xử lý màu tự nhiên như răng thật
- Răng phục hình vững chắc, giúp việc ăn uống hàng ngày trở nên dễ dàng hơn, mang lại cuộc sống bình thường cho bệnh nhân.
Mọi thông tin liên hệ vui lòng gọi đến số:
Hotline:
0938 793 398Trước & sau điều trị
Sức khỏe và nhan sắc là một trong những điều mang lại niềm vui cho cuộc sống. Vì vậy, hãy lựa chọn một địa chỉ uy tín, chất lượng để được chăm...
Chị Thảo - Thẩm mỹ nụ cười
Khách hàng Ngọc Phi sử dụng dịch vụ thẩm mỹ nụ cười và răng sứ để làm đẹp lại toàn bộ hàm răng của mình
Chị Phi - Thẩm mỹ Nụ cười và Răng sứ