Giờ mở cửa

Thứ 2 - Thứ 7 | 8h - 19h

Trước & Sau điều trị

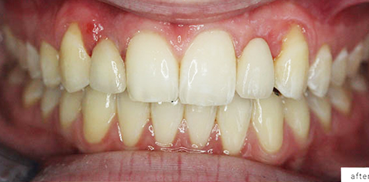
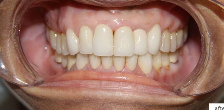
Khách hàng Đồng Thị Hạnh sử dụng dịch vụ phục hình tháo lắp toàn hàm trên và dưới.

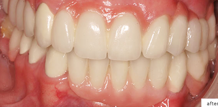
Khách hàng Thủy Tiên sử dụng dịch vụ dán sứ veneer, loại các bỏ khuyết điểm, lấy lại nụ cười trắng sáng

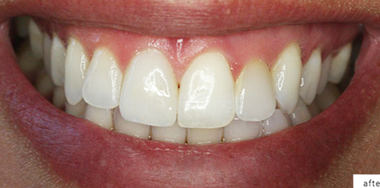
Khách hàng Thu Thảo sau khi sử dụng dịch vụ veneer sứ đã lấy lại được nụ cười duyên dáng cho bản thân.

Khách hàng Ngọc Duyên sử dụng dịch vụ niềng răng bằng mắc cài sứ, giúp hàm răng được chỉnh hình trở nên đều đẹp tự...

Khách hàng Đình Tấn sử dụng dịch vụ răng sứ thẩm mỹ, dán sứ veneer, khắc phục hoàn toàn vấn đề mất răng.

Khách hàng Ngọc Bùi được thẩm mỹ răng bằng dịch vụ răng sứ thẩm mỹ, mão sứ, thay thế mão gốm PFM cũ đã xuống cấp.

Khách hàng Trần Tuấn sử dụng dịch vụ trồng răng implant, lấy lại nụ cười hoàn hảo cho bản thân.

Khách hàng Bá Duy sử dụng dịch vụ trồng răng implant, phục hồi 4 răng mặt tiền hàm trên bị mất.

Khách hàng Thu Trang sử dụng dịch vụ niềng răng bằng mắc cài sứ, cải thiện thẩm mỹ cho hàm răng của mình.

Khách hàng Minh Quân sử dụng dịch vụ răng sứ thẩm mỹ, veneer sứ toàn hàm, xử lý những răng veneer cũ đã xuống cấp.

Khách hàng Kiều Ngân sử dụng dịch vụ răng sứ thẩm mỹ, veneer sứ, xử lý những răng veneer xuống cấp trước đó.

Khách hàng Mỹ Hạnh sử dụng dịch vụ răng sứ thẩm mỹ, dán sứ veneer, lấy lại nụ cười duyên dáng cho bản thân.